Teeth Whitening

Teeth Whitening

We understand the importance of a radiant smile, and our teeth whitening services are designed to enhance your confidence by brightening your pearly whites. A dazzling smile is not just about aesthetics; it can positively impact your overall appearance and boost your self-esteem. Join us on a journey to a brighter, whiter smile that reflects the true beauty of your teeth.

What is Teeth Whitening?

Teeth whitening is a cosmetic dental procedure aimed at removing stains and discolouration from the surface of teeth, resulting in a brighter and whiter smile. Over time, our teeth may become stained due to various factors such as consumption of certain foods and beverages, tobacco use, ageing, and inadequate oral hygiene. Teeth whitening procedures use safe and effective methods to restore the natural brightness of your teeth, leaving you with a more youthful and vibrant smile.

Causes of Teeth Discoloration

Understanding the causes of teeth discolouration is crucial for maintaining a bright smile. Common factors include

Food and Beverages

Consuming dark-coloured foods and drinks such as coffee, tea, red wine, and berries can contribute to staining.

Ageing

Smoking or using tobacco products can lead to yellow or brown discolouration of teeth.

Tobacco Use

Smoking or using tobacco products can lead to yellow or brown discolouration of teeth.

Poor Oral Hygiene

Inadequate brushing and flossing can allow plaque and stains to accumulate on teeth.

Medications

Certain medications, such as tetracycline antibiotics, can cause tooth discolouration when taken during tooth development.

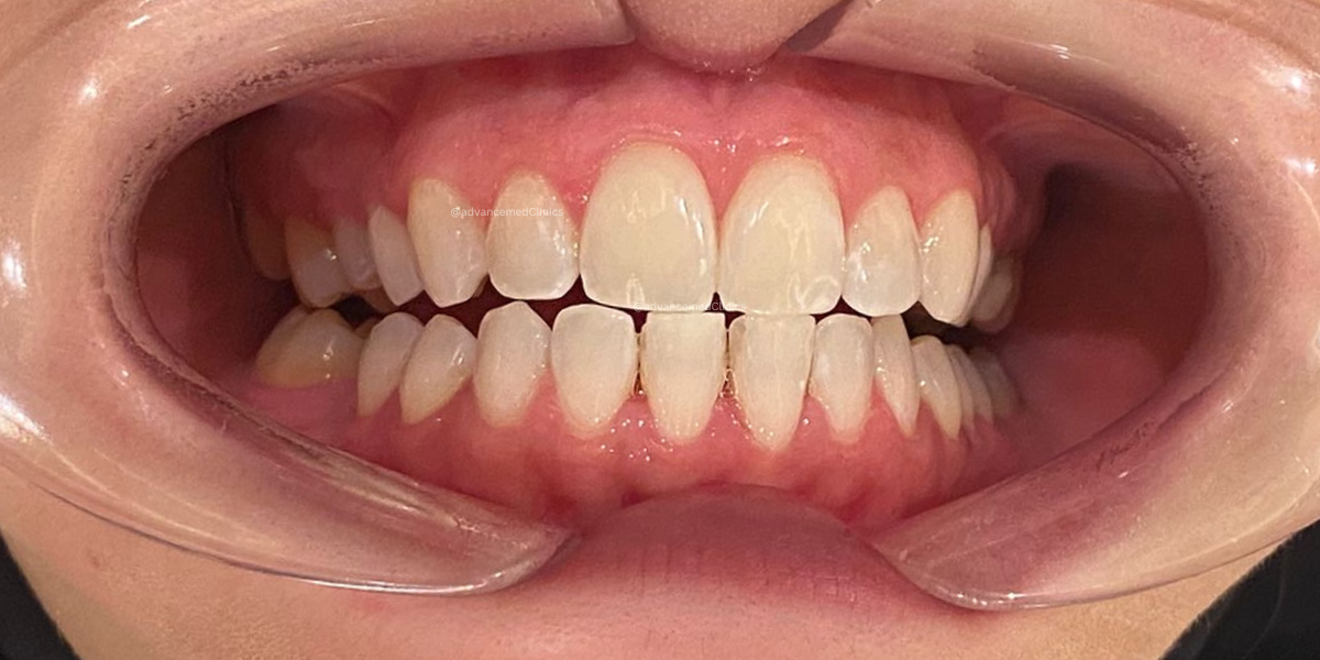
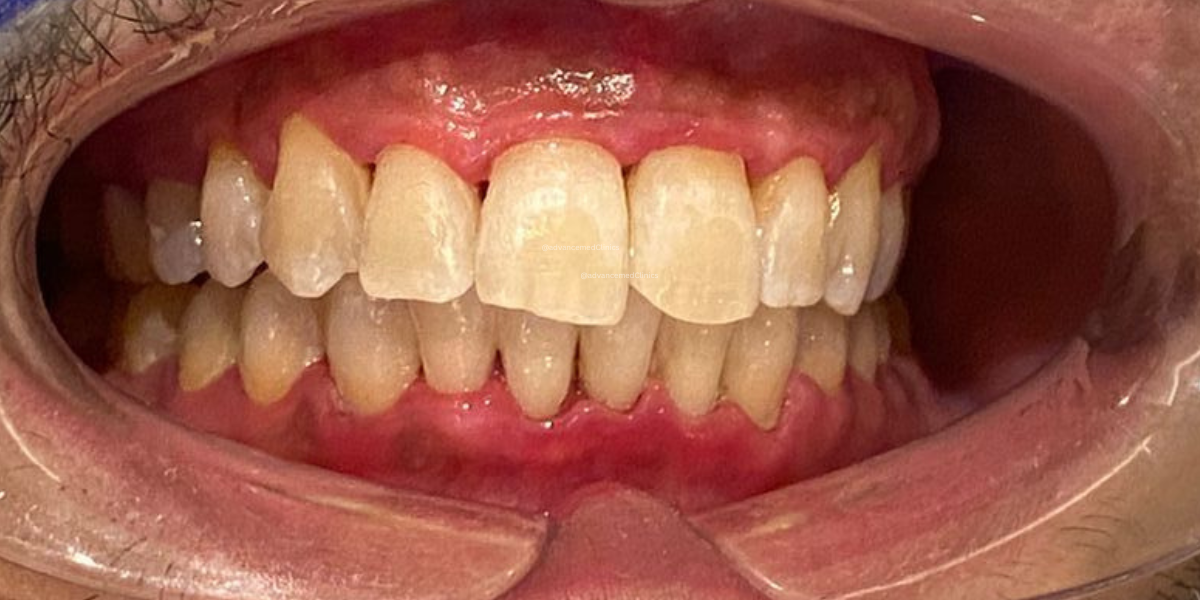
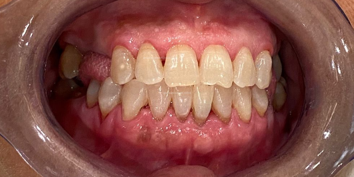
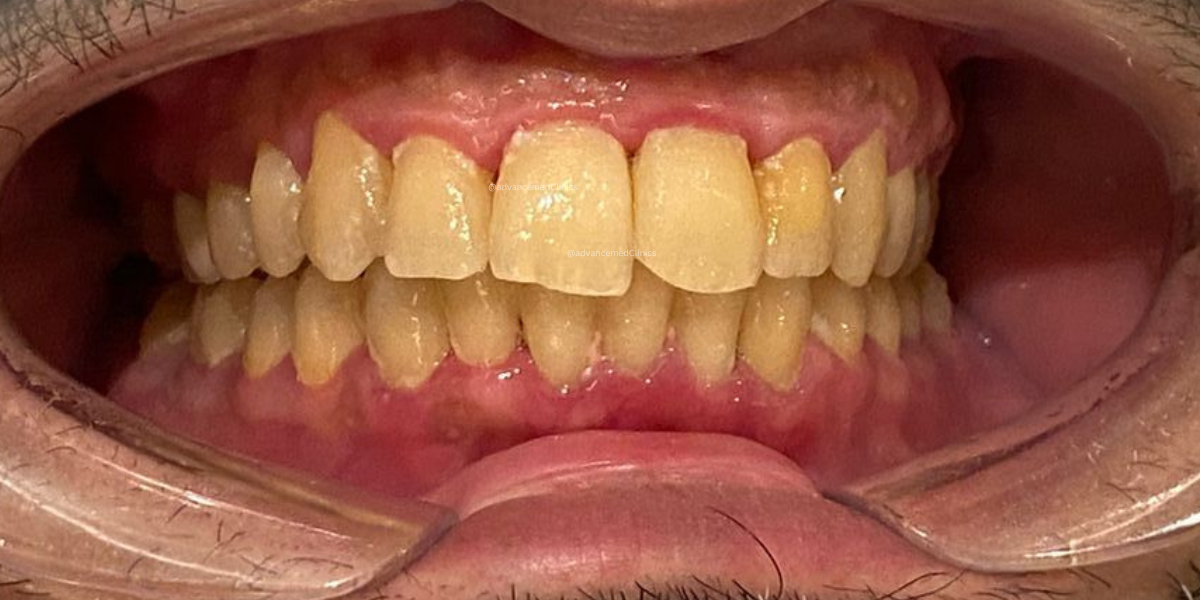
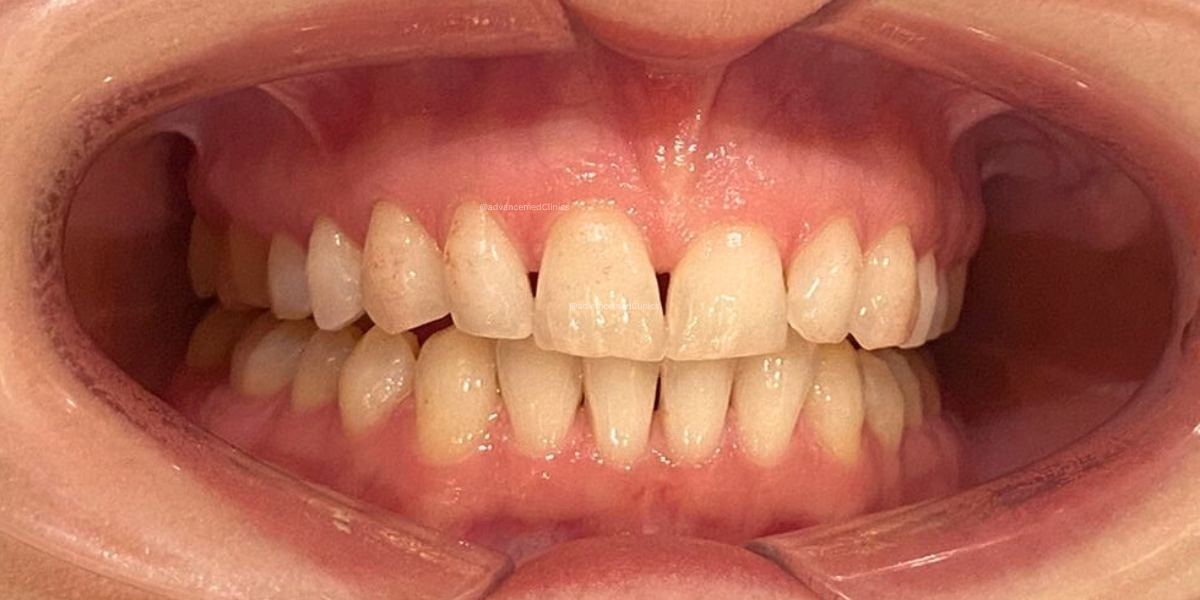
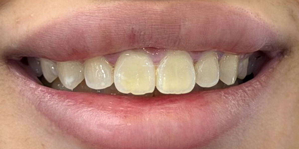
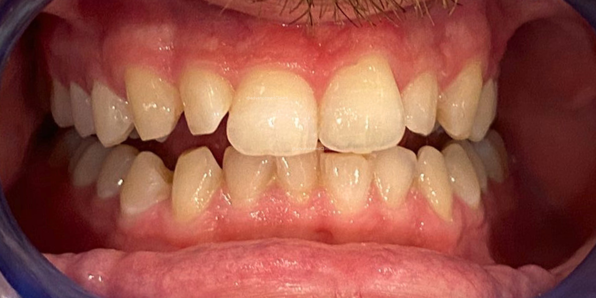
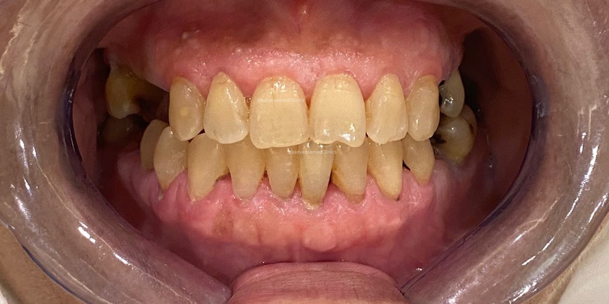
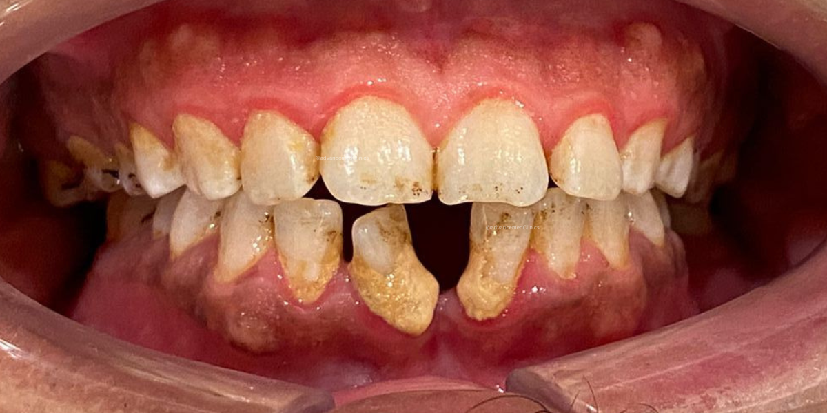
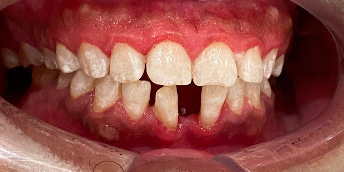
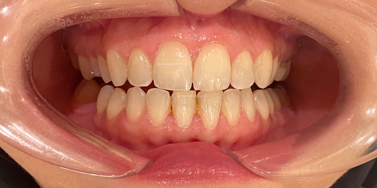
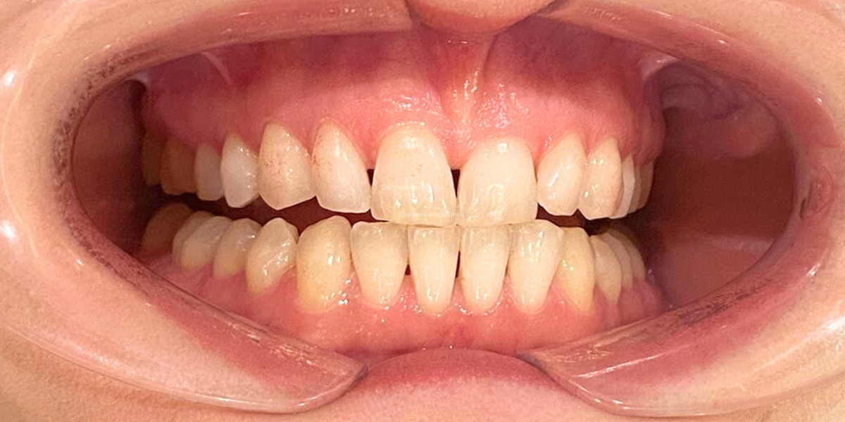
Before and After Teeth Whitening

Before image alt After image alt
Before image alt After image alt
Before image alt After image alt
Before image alt After image alt
Before image alt After image alt
Before image alt After image alt
Before image alt After image alt
Before image alt After image alt
Before image alt After image alt

Safe and Effective Procedures

Professional Expertise

Reputed dental practices employ experienced professionals who have the expertise to assess your dental condition and recommend the most suitable whitening treatment.

Customized Treatment Plans

Every individual’s dental needs are unique. Reputed services tailor their treatment plans to address specific concerns, providing personalized care for optimal results.

Safe and Effective Procedures

Trusted dental services use proven and safe whitening techniques that ensure effective results without compromising your oral health.

Get a free consultation